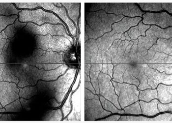
Regresión espontánea de una masa subretiniana periférica: a propósito de un caso de PEHCR
Autores: Ingrid Pita-Ortiz, MD1, Octavio Turcio-Aceves MD1, Mauricio Bayram-Suverza, MD1. Departamento de Retina y Vítreo, Fundación ...
Read moreDetailsAutores: Ingrid Pita-Ortiz, MD1, Octavio Turcio-Aceves MD1, Mauricio Bayram-Suverza, MD1. Departamento de Retina y Vítreo, Fundación ...
Read moreDetails"Este artículo fue publicado y traducido bajo los términos de nuestra licencia con Jobson Healthcare Information. ...
Read moreDetailsEn el marco del PAAP 2025 (Pan-American Academy of Ophthalmology), Lumibird Medical presentará el simposio titulado: ...
Read moreDetailsIridex te invita al webinar: "Innovaciones en Tecnología Láser para el Tratamiento del Glaucoma y Enfermedades de ...
Read moreDetailsPor Michelle Stephenson, editora colaboradora Las moscas volantes son una queja frecuente de pacientes de todas ...
Read moreDetailsEl XLVI Curso Interamericano de Oftalmología Clínica, organizado por el Departamento de Educación del Bascom Palmer ...
Read moreDetailsEn un estudio reciente publicado en Ophthalmology Science, se evaluó el uso de modelos de inteligencia artificial, como ...
Read moreDetails(Este artículo fue traducido, adaptado e impreso con autorización exclusiva del grupo de revistas de Review ...
Read moreDetailsPor Andrew Beers, editor asociado Los especialistas en retina proporcionan su visión sobre cómo combinar el ...
Read moreDetailsPor Christine Yue Leonard, editora asociada sénior Así es como los especialistas están utilizando los últimos ...
Read moreDetails@2025 Creative Latin Media