Este artículo fue publicado y traducido bajo los términos de nuestra licencia con Jobson Healthcare Information. Queda estrictamente prohibida su reproducción total o parcial.
Presentación
Un hombre de 63 años acudió al servicio de urgencias de Wills Eye por un cuadro de dos semanas de evolución caracterizado por la aparición reciente de condensaciones vítreas en ambos ojos. El paciente no tenía antecedentes médicos ni oftalmológicos conocidos.
Historia
Diez días antes, había sido ingresado en un hospital externo por cefalea de reciente inicio, fiebre, escalofríos, fatiga y rigidez de nuca. La radiografía de tórax, la tomografía computarizada de cráneo y la resonancia magnética cerebral fueron normales. Se realizó una punción lumbar que mostró líquido cefalorraquídeo claro con pleocitosis linfocítica, proteínas ligeramente elevadas y glucosa normal. Los paneles para meningitis realizados en el líquido cefalorraquídeo resultaron negativos para etiologías bacterianas y virales, incluyendo Escherichia coli, Haemophilus influenzae, Listeria, Neisseria, Streptococcus pneumoniae, virus del herpes simple, virus varicela-zóster, citomegalovirus, enterovirus, parechovirus humano, herpesvirus humano 6 y Cryptococcus. El estudio serológico efectuado durante esa hospitalización, que incluyó pruebas para enfermedad de Lyme, VIH, sífilis, toxoplasmosis, clamidia, gonorrea y sarcoidosis, también fue negativo. Se estableció el diagnóstico presuntivo de meningitis aséptica viral, por lo que recibió cinco días de aciclovir intravenoso y fue dado de alta con valaciclovir oral 1 g tres veces al día.
Tras el alta, sus síntomas sistémicos mejoraron gradualmente; sin embargo, persistieron las condensaciones vítreas bilaterales, motivo por el cual acudió al Departamento de Emergencias de Wills Eye tres días después del alta hospitalaria.
La agudeza visual era de 20/25 en ambos ojos, y la presión intraocular fue de 17 mmHg en el ojo derecho y 16 mmHg en el izquierdo. Las pupilas eran isocóricas y reactivas a la luz, sin defecto pupilar aferente relativo.
En la biomicroscopía con lámpara de hendidura se observaron cataratas nucleoescleróticas 1+ y células en el vítreo anterior 2+ en ambos ojos.
El examen de fondo de ojo del ojo derecho reveló numerosas lesiones coriorretinianas pigmentadas dispersas y un menor número de lesiones coroideas hipopigmentadas en la periferia media. Asimismo, se identificaron múltiples lesiones coriorretinianas pequeñas dispuestas en un patrón lineal que irradiaban desde el nervio óptico y estaban conectadas por una sutil estría coriorretiniana (Figura 1A).
El fondo de ojo del ojo izquierdo mostró lesiones coriorretinianas pigmentadas dispersas similares, muchas de ellas irradiadas en forma lineal desde el nervio óptico y conectadas por una sutil estría coriorretiniana, junto con un menor número de lesiones coroideas hipopigmentadas en la mácula y a lo largo de la arcada vascular superior (Figura 1B).

Figura 1. (A) Fotografía pseudocolor de campo ultraamplio del fondo de ojo derecho en la consulta inicial, que demuestra numerosas lesiones coriorretinianas dispersas y un menor número de lesiones coroideas hipopigmentadas en la periferia media. Se observan múltiples lesiones coriorretinianas pequeñas a lo largo de la arcada superior, dispuestas en un patrón lineal que irradia desde el nervio óptico y conectadas por una sutil estría coriorretiniana.
(B) Fotografía pseudocolor de campo ultraamplio del fondo de ojo izquierdo en la presentación inicial, que muestra de manera similar lesiones coriorretinianas pigmentadas dispersas, muchas de las cuales irradian en forma lineal desde el nervio óptico y están conectadas por una sutil estría coriorretiniana. Se identifican además pocas lesiones coroideas hipopigmentadas en la mácula y a lo largo de la arcada superior.
En la autofluorescencia del fondo de ojo, las lesiones coriorretinianas aparecieron hiperautofluorescentes, en mayor número que las visibles en el examen clínico. Algunas presentaban un halo hipoautofluorescente en ambos ojos (Figura 2A-B).
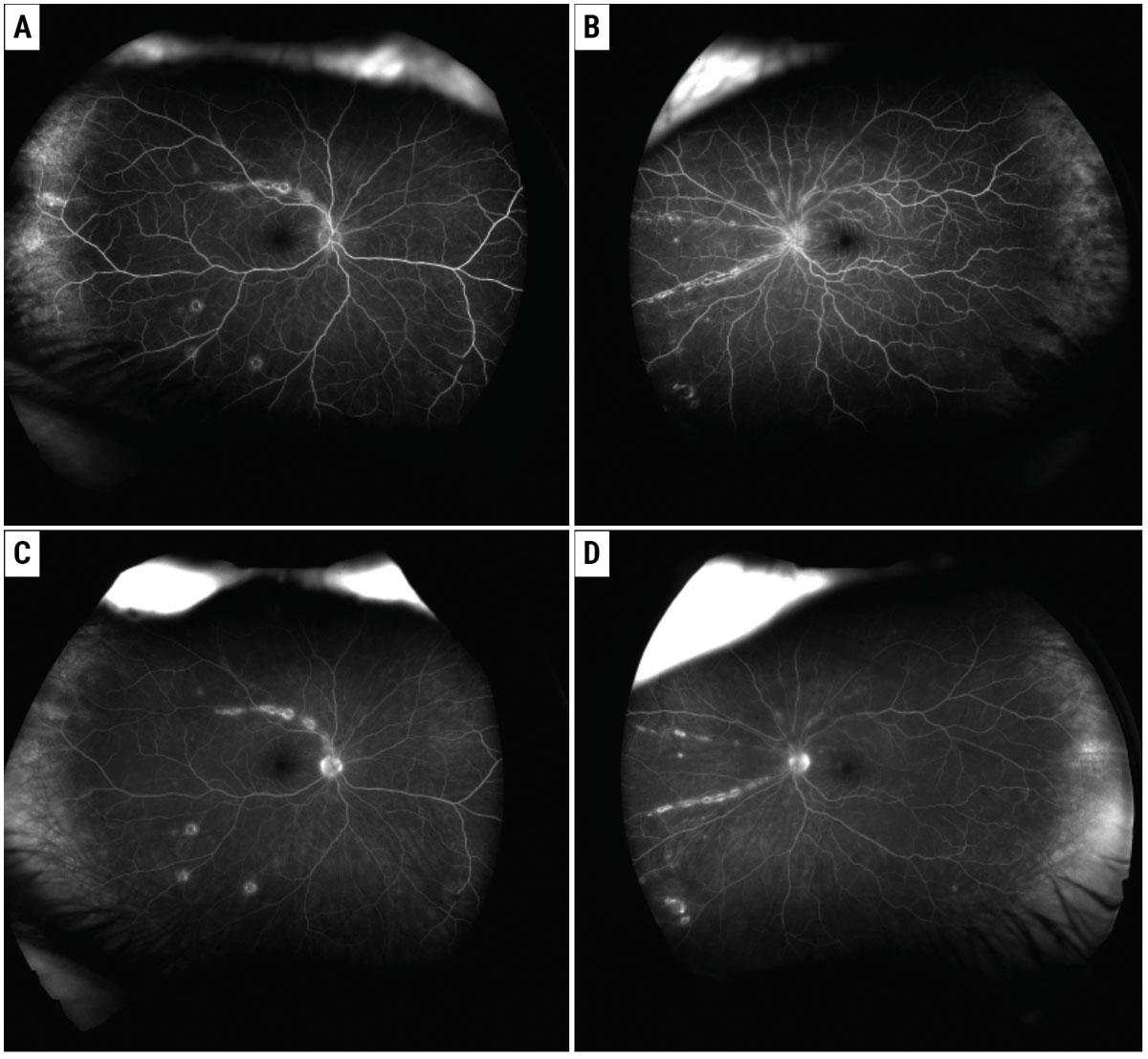
La angiografía con fluoresceína reveló hiperfluorescencia temprana de las lesiones coriorretinianas con hipofluorescencia central en ambos ojos (Figura 3A-B). En la fase tardía se observó tinción progresiva de las lesiones, así como hiperfluorescencia del disco óptico en ambos ojos (Figura 3C-D).

Figura 2. La autofluorescencia del fondo de ojo derecho (A) e izquierdo (B) muestra lesiones coriorretinianas hiperautofluorescentes que superan en número a las lesiones visibles en el examen clínico. También hay algunas con un borde hipoautofluorescente en ambos ojos.

Figura 3. La angiografía con fluoresceína en fase temprana del ojo derecho (A) y del ojo izquierdo (B) demuestra lesiones coriorretinianas dispersas con hipofluorescencia central. En ambos ojos se aprecia la disposición lineal de estas lesiones previamente descrita.
En la fase tardía (C-D) se observa tinción progresiva de las lesiones coriorretinianas, así como fuga del disco óptico en ambos ojos.
Diagnóstico diferencial, estudios y tratamiento
Se elaboró un diagnóstico diferencial que incluyó etiologías infecciosas como retinitis viral atípica, sífilis, infección por micobacterias atípicas y tuberculosis. Entre las posibles causas inflamatorias se consideraron sarcoidosis y coroiditis multifocal.
Se realizaron estudios serológicos que incluyeron enzima convertidora de angiotensina, serología para sífilis, QuantiFERON-TB Gold e IgG e IgM para virus del Nilo Occidental.
Ante la sospecha de retinitis viral, se practicó una punción de cámara anterior en el ojo izquierdo y se administró foscarnet intravítreo en ambos ojos. Se envió un panel de PCR ocular que incluyó HSV, toxoplasma, VZV y CMV.
Se continuó valaciclovir 1 g tres veces al día y se inició prednisolona acetato al 1 % cuatro veces al día en ambos ojos.

Figura 4. Fotografía pseudocolor de campo ultraamplio del ojo derecho (A) e izquierdo (B) al mes de seguimiento, que evidencia mayor pigmentación de las lesiones coriorretinianas lineales y resolución de las lesiones coroideas hipopigmentadas en ambos ojos.
Los resultados de IgG e IgM para virus del Nilo Occidental (VNO) en el líquido cefalorraquídeo, que aún estaban pendientes desde la punción lumbar inicial, así como los estudios séricos para VNO, fueron positivos. El resto del estudio serológico no mostró hallazgos relevantes. El panel de PCR ocular obtenido de la punción de cámara anterior fue negativo.
En el control a la semana, la agudeza visual se mantuvo estable en 20/25 en ambos ojos, y la inflamación del vítreo anterior disminuyó a 1+ en ambos ojos. Se suspendió el valaciclovir. La prednisolona acetato al 1 % se redujo de manera progresiva conforme mejoraba la celularidad vítrea anterior.
Al mes de seguimiento, la agudeza visual permaneció estable y las fotografías de campo ultraamplio repetidas evidenciaron mayor pigmentación de las lesiones coriorretinianas lineales y resolución de las lesiones coroideas hipopigmentadas en ambos ojos (Figura 4A-B).
Discusión
El virus del Nilo Occidental (VNO) es un flavivirus envuelto de ARN monocatenario que se transmite a los humanos a través de mosquitos, principalmente del género Culex. Tras su aislamiento inicial en Uganda en 1937, el virus se propagó ampliamente y fue identificado por primera vez en Estados Unidos en 1999. En la actualidad es endémico en América del Norte, con brotes estacionales que alcanzan su pico a finales del verano y principios del otoño.¹² El periodo de incubación suele oscilar entre dos y 15 días. Aproximadamente el 80 % de las infecciones son asintomáticas y cerca del 20 % producen un cuadro autolimitado similar a una enfermedad gripal. Menos del 1 % progresa a enfermedad neuroinvasiva, como meningitis, encefalitis o parálisis flácida aguda. La edad avanzada, la diabetes y la inmunosupresión se han identificado como factores de riesgo para enfermedad neuroinvasiva.¹³
La afectación ocular forma parte del espectro sistémico de la infección por VNO, particularmente en pacientes con compromiso neuroinvasivo. La coriorretinitis es la manifestación ocular más frecuente y puede estar presente hasta en el 80 % de los pacientes con infección neuroinvasiva por VNO y en aproximadamente una cuarta parte de los pacientes infectados en general.⁴ Con frecuencia los pacientes son asintomáticos al momento de la evaluación; sin embargo, las miodesopsias y la visión borrosa constituyen los síntomas más habituales.⁵ En el examen de fondo de ojo, el hallazgo característico consiste en lesiones bilaterales, multifocales, blancas o amarillentas, profundas, distribuidas en la periferia media. Las lesiones pueden ser circulares o en forma de diana y suelen asociarse con vitritis leve a moderada. Una característica distintiva y relativamente específica de la coriorretinopatía por VNO es la disposición curvilínea o arcuata de las lesiones, siguiendo el trayecto de la capa de fibras nerviosas de la retina.⁵⁶
Se ha descrito además un amplio espectro de hallazgos inflamatorios y neurooftalmológicos. La vasculitis retiniana con envainamiento vascular y fuga angiográfica se reporta en aproximadamente el 20 % de los ojos afectados y, en raras ocasiones, puede complicarse con vasculopatía oclusiva. Otras manifestaciones incluyen uveítis anterior, edema del disco óptico, neuritis óptica y parálisis de pares craneales.⁵ El pronóstico visual depende en gran medida de la afectación de la mácula o del nervio óptico y de la presencia de vasculitis oclusiva grave con isquemia macular. La coriorretinitis multifocal aislada generalmente sigue un curso benigno, mientras que los ojos con neuritis óptica o vasculitis oclusiva tienen mayor riesgo de pérdida visual.⁷ Es importante destacar que la coriorretinopatía por VNO también se ha asociado con peores desenlaces neurológicos y neurocognitivos a largo plazo, lo que sugiere que los hallazgos oculares pueden identificar un subgrupo de pacientes con enfermedad sistémica más grave.⁴
Actualmente no existe terapia antiviral con eficacia demostrada para el tratamiento del VNO. El manejo de la enfermedad neuroinvasiva es fundamentalmente de soporte. A pesar de la ausencia de tratamiento específico, muchos pacientes con coriorretinopatía por VNO recuperan buena agudeza visual sin intervención y pueden manejarse únicamente con observación. El papel de los corticosteroides continúa siendo controvertido; los esteroides sistémicos pueden considerarse en complicaciones que comprometen la visión, aunque deben sopesarse frente al riesgo teórico de interferir con la eliminación viral.⁸ La prevención primaria, mediante el control vectorial, medidas de protección personal y estrategias de salud pública, sigue siendo la herramienta más efectiva para combatir el VNO. Las vacunas para uso humano se encuentran en investigación, pero hasta la fecha ninguna ha sido aprobada para su comercialización.¹
En resumen, este caso ilustra el fenotipo ocular clásico de la coriorretinopatía por VNO: vitritis bilateral asociada a lesiones coriorretinianas multifocales con patrón curvilíneo. El reconocimiento oportuno de estas características puede orientar la solicitud de estudios serológicos y de líquido cefalorraquídeo específicos, facilitando un diagnóstico temprano de la infección por VNO.
Bibliografía:
- Nahar, A., Bowe, T., & Deaner, J. (2026, February 11). February 2026 Wills Eye Resident Case Series. Review of Ophthalmology. https://www.reviewofophthalmology.com/article/february-2026-wills-eye-resident-case-series
- Yahia SB, Khairallah M. Ocular manifestations of West Nile virus infection. International Journal of Medical Sciences 2009;6:3:114-115.
- CDC. West Nile Virus. August 19, 2025. https://www.cdc.gov/west-nile-virus/index.html. Accessed November 28, 2025.
- Bakri SJ, Kaiser PK. Ocular manifestations of West Nile virus. Curr Opin Ophthalmol 2004;15:6:537-540.
- Hasbun R, Garcia MN, Kellaway J, et al. West Nile virus retinopathy and associations with long term neurological and neurocognitive sequelae. PLoS One 2016;11:3:e0148898.
- Ruiz-Lozano RE, Zafar S, Berkenstock MK, Liberman P. Ocular manifestations of West Nile virus infection: A case report and systematic review of the literature. European Journal of Ophthalmology 2025;35:3:844-855.
- Khairallah M, Yahia SB, Letaief M, et al. A prospective evaluation of factors associated with chorioretinitis in patients with West Nile virus infection. Ocular Immunology and Inflammation 2007;15:6:435-439.
- Chan CK, Limstrom SA, Tarasewicz DG, Lin SG. Ocular features of West Nile virus infection in North America: A study of 14 eyes. Ophthalmology 2006;113:9:1539-1546.
- Garg S, Jampol LM. Systemic and intraocular manifestations of West Nile virus infection. Surv Ophthalmol 2005;50:1:3-13.









